Beyondward logo

Beyondward

Innovation, vetenskap, teknologi och idéer som formar framtiden

Redan medlem?Logga in
Beyondward
 
Beyondward
för 4 år sedanRedigerad+5

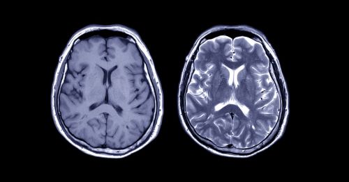
Digital twins are already used in manufacturing, industry, and aerospace. Now a European project called Neurotwin wants to make virtual copies of brains. The Neurotwin team is hoping the project can lead to treatments of neurological disorders, including epilepsy and Alzheimer’s disease.

Digital twins are already used in manufacturing, industry, and aerospace. Now a European project called Neurotwin wants to make virtual copies of brains. The... Se mer

0
Logga in eller skapa ett konto för att kommentera.
Mer från flödet
 

Kontrollerar din e-postadress...