Beyondward logo

Beyondward

Innovation, science, technology and ideas shaping the future

Already member?Sign in
Beyondward
 
Beyondward
6 months agoEdited+5

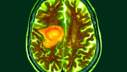
What if the most aggressive diseases could be fought with the gentlest treatments, transforming invasive procedures into something as simple as a nasal spray? 

Washington University researchers have developed nano-engineered particles delivered through the nose that eliminated deadly brain tumors in mice, potentially reimagining how we approach cancers that have resisted every other treatment.

What if the most aggressive diseases could be fought with the gentlest treatments, transforming invasive procedures into something as simple as a nasal spray? ... See more

0
Sign in or create an account to comment.
More from the feed
 

Checking your e-mail...